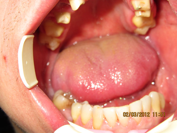
Фото №1 Зубы верхней челюсти подготовлены для протезирования, центральные зубы нижней челюсти поражены кариесом.

Фото №2,№3,№4 Зубы нижней челюсти проелечены. Восстановлена анатомическая форма зубов пломбировочными материалами.



Фото №5 Зубы верхней челюсти запротезированы металлокетамическими мостовидными протезами.

